新闻动态
北京同仁医院血管外科成功开展首例TCAR手术
近日,首都医科大学附属北京同仁医院血管外科团队成功完成全院首例经颈动脉血运重建术(Trancarotid artery revascularization, TCAR),标志着我院在颈动脉狭窄外科治疗领域取得重要突破,为复杂颈动脉疾病患者提供了更安全、更有效的治疗选择。
患者冯先生今年75岁,此次因“鼻窦炎”于我院就诊,在鼻科手术前行颈动脉彩超时意外发现右颈动脉重度狭窄,遂转至血管外科住院治疗。患者既往长期2型糖尿病病史,曾因冠状动脉粥样硬化性心脏病行冠脉支架置入术,此次检查出“右颈内动脉重度狭窄”,血管彩超提示狭窄部位血流速度增快,最高PSV达到283cm/s。完善颈动脉CTA后经血管外科专家团队评估,冯先生主动脉弓严重扭曲,颈内动脉狭窄解剖位置偏高,不适合常规颈内动脉内膜剥脱术,同时病变部位斑块不稳定,传统经股动脉入路的颈动脉支架植入术(TF-CAS)也风险较高。而TCAR手术可以通过逆流保护装置避免在颈动脉球囊扩张以及支架植入术中微血栓及不稳定斑块向颅内血管的脱落导致的脑梗塞,提高了手术的安全性,同时因该术式切口较小,有效降低了颅神经损伤发生率,规避了主动脉弓和弓上大血管的操作。在首都医学科学创新中心血管疾病独立研究室主任张玮教授的指导下,血管外科冯亚平专家团队反复推敲,为冯先生制定了详细的手术方案。

△ 术前B超及CTA提示右颈内动脉起始段病变为重度狭窄
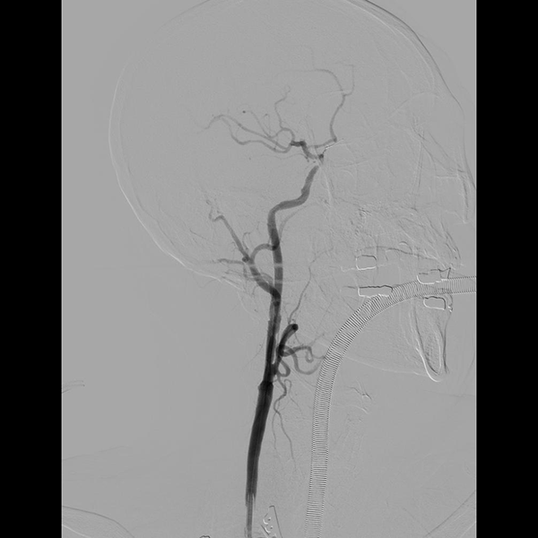
手术团队在超声引导下精准定位,通过颈部(锁骨上)3cm小切口建立操作通道及颈内动脉-股静脉转流后,成功完成右颈动脉支架植入术。整个手术过程中单侧颈总动脉阻断时间小于10分钟,术后造影显示右颈动脉通畅、支架形态良好,残余狭窄小于10%。术后患者神经系统功能完好,无并发症发生,术后第3天顺利出院。
本次手术的成功得益于血管外科、麻醉科、重症医学科等多学科的紧密协作,手术团队对患者病情进行了全面评估,制定了详细的手术方案和应急预案;术中精准操作,严格把控逆流时间和支架释放位置。麻醉科在术中对患者心率、血压密切监测及严格调控,保证患者在颈总动脉阻断过程中脑灌注及循环稳定。重症医学科术后加强监护,做好脑缺血再灌注的预防及保护,确保患者平稳恢复。

△ 张玮教授指导下,血管外科冯亚平团队为患者实施手术

△ 颈动脉支架置入术后影像
技术背景:TCAR的优势与创新
TCAR是一种创新的微创血管重建技术,目前在美国已经成为和CEA手术同等地位的颈动脉狭窄病变的术式选择;其通过结合颈动脉内膜切除术的低卒中风险优势和颈动脉支架成形术的微创特点,为颈动脉狭窄患者外科治疗提供了新的治疗路径。该技术通过建立颈动脉-股静脉临时逆流血流通路,在支架植入过程中实现逆向血流脑保护,有效降低术中栓塞风险;同时手术切口小而美观,暴露颈总动脉时间短,避免损伤神经,不干扰远端颈内动脉。该术式同时适合于主动脉弓扭曲、颈动脉分叉位置较高等特殊解剖条件的患者。

TCAR技术的成功开展,为颈动脉狭窄患者特别是高危和复杂病例提供了新的治疗选择。随着技术经验的积累和器械的不断优化,TCAR有望成为颈动脉血运重建的重要术式之一。首都医科大学附属北京同仁医院是目前国内及北京首先开展此项TCAR术式为数不多的单位之一,血管外科将继续推进该项技术的临床应用和研究,为更多患者带来福音。

△ 张玮教授与同仁血管外科专家团队



